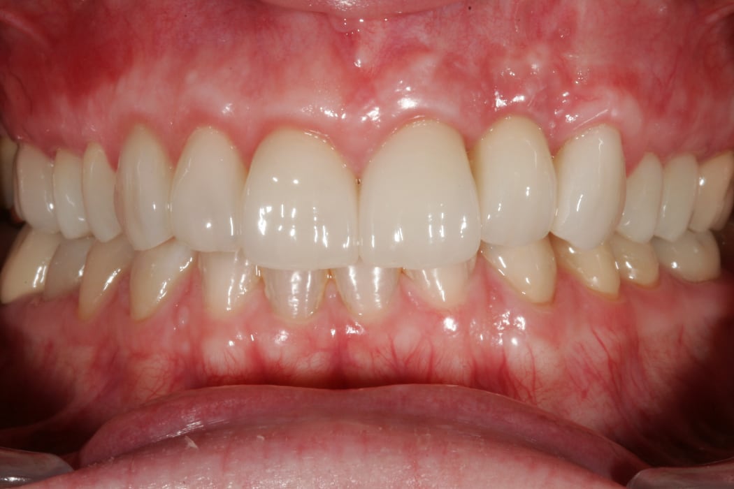
Drago.jpeg Drago_full


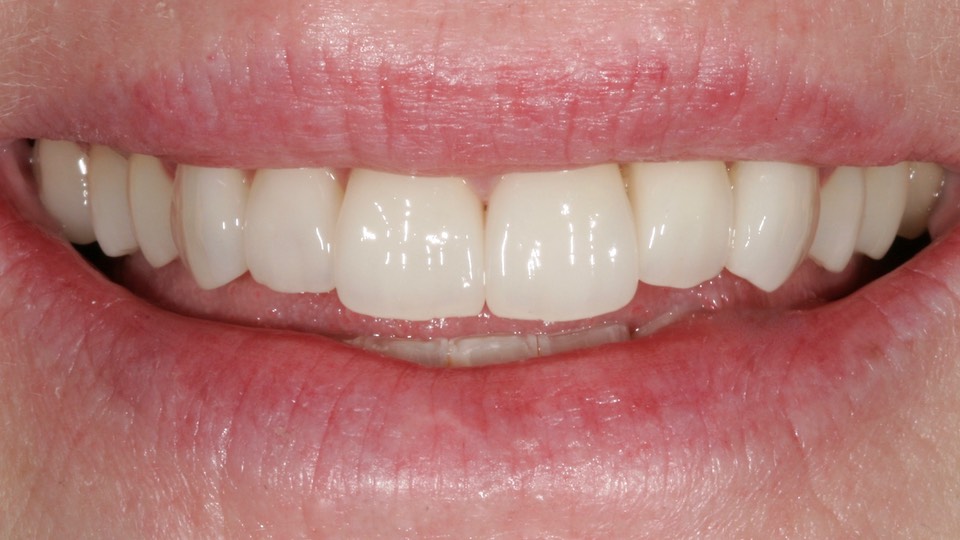
Intraoral_nachher_05