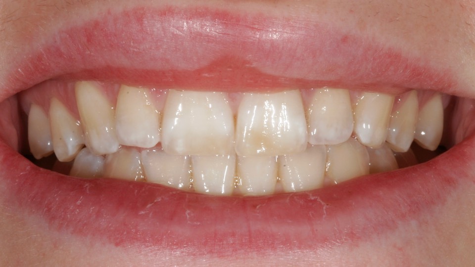
Drago.jpeg Drago_full


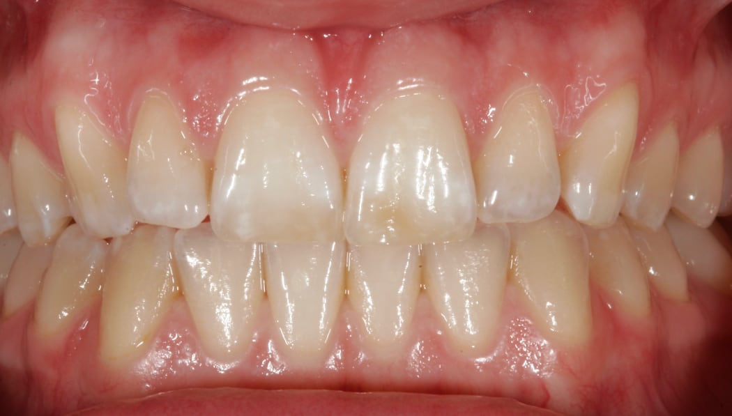
Intraoral_vorher_07
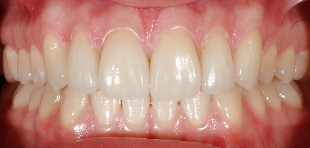
Intraoral_nachher_07